Alguém pode me explicar essa questão? Minhas principais dúvidas quanto a ela seriam os tipos de cromossomos, seriam relacionados à posição dos centrômeros?
Com relação à reprodução, o genitor ou genitores transmitem aos descendentes informações sobre as características da espécie. Assim, a transmissão das informações codificadas de geração para geração constitui a hereditariedade. Geralmente todas as informações para o funcionamento das células eucarióticas, bem como do organismo, estão inscritas nos cromossomos. Quanto aos cromossomos, leia o texto a seguir:
O número de cromossomos varia entre as espécies. Por exemplo, na espécie humana há ............ de cromossomos, sendo a maior parte denominada ................... Nas células corporais, denominadas células somáticas, têm ............... cromossomos no núcleo; já o gameta, óvulo ou espermatozoide, possui ...................
Assinale a alternativa CORRETA que completa o texto acima.
(A) 23 tipos; autossomos; 24; 2 cromossomos.
(B) 23 tipos; homólogos; 46; 23 cromossomos.
(C) 24 tipos; homólogos; 23; 2 cromossomos.
(D) 24 tipos; autossomos; 46; 23 cromossomos.
GABARITO: (D)
Genética, Citologia e Bioquímica ⇒ (UFT 2019.2) Cromossomos Tópico resolvido
- NandaSevla Offline
- Mensagens: 3
- Registrado em: 13 Fev 2023, 19:23
Fev 2023
13
19:52
(UFT 2019.2) Cromossomos
Editado pela última vez por NandaSevla em 13 Fev 2023, 20:00, em um total de 1 vez.
- leozitz Offline
- Mensagens: 339
- Registrado em: 06 Jan 2022, 16:26
- Agradeceu: 1 vez
- Agradeceram: 7 vezes
Fev 2023
14
17:24
Re: (UFT 2019.2) Cromossomos
nos seres humanos a gente tem 23 pares de cromossomos, 22 são não sexuais (autossomos) e 1 é sexual
ai a gente tem 46, quanto a ultima lacuna, a gente pega metade do pai e metade da mãe, ou seja, 46/2 = 23
os cromossomos autossomos guardam informações comuns aos homens e mulheres, já os cromossomos sexuais guardam informações diferentes para homens e outras informações para mulheres
ai a gente tem 46, quanto a ultima lacuna, a gente pega metade do pai e metade da mãe, ou seja, 46/2 = 23
não entendi aqui
os cromossomos autossomos guardam informações comuns aos homens e mulheres, já os cromossomos sexuais guardam informações diferentes para homens e outras informações para mulheres
- NandaSevla Offline
- Mensagens: 3
- Registrado em: 13 Fev 2023, 19:23
Fev 2023
14
17:59
Re: (UFT 2019.2) Cromossomos
Agradeço a resposta, leozitz!
Se você perceber, o gabarito da questão fala que na espécie humana há 24 tipos de cromossomos. E a minha dúvida consiste exatamente nesse fato. Entendo que os cromossomos são divididos em autossomos (2n), e em sexuais (n). Também sei que por essa razão temos 46 cromossomos nas células somáticas e 23 cromossomos nos nossos gametas.
Retomando o ponto específico da minha dificuldade nessa questão, sabemos que os cromossomos são tipificados de acordo com a posição dos centrômeros em telocêntricos, metacêntricos, acrocêntricos e submetacêntricos. Portanto, além dos 44 autossomos e 2 sexuais, eu entendia que haviam mais esses 4 tipos de classificação.
Se você perceber, o gabarito da questão fala que na espécie humana há 24 tipos de cromossomos. E a minha dúvida consiste exatamente nesse fato. Entendo que os cromossomos são divididos em autossomos (2n), e em sexuais (n). Também sei que por essa razão temos 46 cromossomos nas células somáticas e 23 cromossomos nos nossos gametas.
Retomando o ponto específico da minha dificuldade nessa questão, sabemos que os cromossomos são tipificados de acordo com a posição dos centrômeros em telocêntricos, metacêntricos, acrocêntricos e submetacêntricos. Portanto, além dos 44 autossomos e 2 sexuais, eu entendia que haviam mais esses 4 tipos de classificação.
- NandaSevla Offline
- Mensagens: 3
- Registrado em: 13 Fev 2023, 19:23
Fev 2023
14
18:16
Re: (UFT 2019.2) Cromossomos
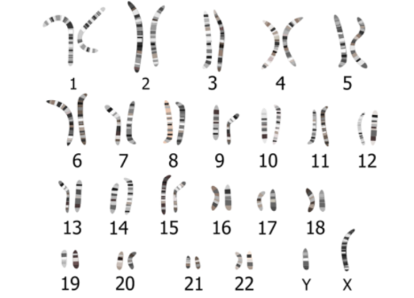
Consegui compreender o porquê dos 24 tipos de cromossomos presentes na espécie humana.
Além de separados pela posição dos centrômeros e em autossomos e alossomos, nossos cromossomos também apresentam tamanhos diferentes. Assim, observando o cariótipo da nossa espécie, temos exatamente 24 tipos deles:
Além de separados pela posição dos centrômeros e em autossomos e alossomos, nossos cromossomos também apresentam tamanhos diferentes. Assim, observando o cariótipo da nossa espécie, temos exatamente 24 tipos deles:
- Anexos
-
- idiograma.png (99.06 KiB) Exibido 1554 vezes
-
- Tópicos Semelhantes
- Resp.
- Exibições
- Últ. msg
![🔴 [ENEM 2025 PPL Live 03] Matemática - Resolução de 146 até 150](/cdn-cgi/image/width=200,dpr=2,quality=85,format=auto,metadata=none,onerror=redirect/https://img.youtube.com/vi/fD8ohgS6JKo/mqdefault.jpg)
![🔴 [ENEM 2025 PPL Live 02] Matemática - Resolução de 141 até 145](/cdn-cgi/image/width=200,dpr=2,quality=85,format=auto,metadata=none,onerror=redirect/https://img.youtube.com/vi/np7jAEKAjTE/mqdefault.jpg)
![🔴 [ENEM 2025 PPL Live 01] Matemática - Resolução de 136 até 140](/cdn-cgi/image/width=200,dpr=2,quality=85,format=auto,metadata=none,onerror=redirect/https://img.youtube.com/vi/vb1b6e7VXjw/mqdefault.jpg)
![🔴 [ENEM 2025 Belém Live 09] Matemática - Resolução de 176 até 180](/cdn-cgi/image/width=200,dpr=2,quality=85,format=auto,metadata=none,onerror=redirect/https://img.youtube.com/vi/krrZ-ei9zSY/mqdefault.jpg)
![🔴 [ENEM 2025 Belém Live 08] Matemática - Resolução de 171 até 175](/cdn-cgi/image/width=200,dpr=2,quality=85,format=auto,metadata=none,onerror=redirect/https://img.youtube.com/vi/MvNi78z2R8o/mqdefault.jpg)
![🔴 [ENEM 2025 Belém Live 07] Matemática - Resolução de 166 até 170](/cdn-cgi/image/width=200,dpr=2,quality=85,format=auto,metadata=none,onerror=redirect/https://img.youtube.com/vi/X_1EIDOwGVg/mqdefault.jpg)